Пройдите тест и узнайте стоимость лечения в вашем случае
Опытные ортодонты 1-ой и высшей категории
Пожалуй, лучшее
предложение
в Башкортостане

У нас есть 2 варианта консультации:


Фотопротокол зубов

Разъяснение всех вариантов лечения прикуса с учетом плюсов и минусов каждого способа, а также вариантов оплаты и рассрочек

Предварительная диагностика и план лечения с указанием диапазона цен
Что вы получите:
Ясное понимание плюсов и минусов лечения прикуса брекетами и элайнерами
Предварительный диагноз и план лечения с указанием очередности и сроков лечения
Предварительную стоимость и варианты рассрочек внутри нашей клиники

Сбор данных пациента врачом-диагностом

Фотопротокол зубов

КТ-снимок челюсти ( необходимо для подробной диагностики зубов мудрости, наличия кист, воспалений и т.д.)

Разъяснение всех вариантов лечения прикуса с учетом плюсов и минусов каждого способа, а также вариантов оплаты и рассрочек

Подробная диагностика челюсти по КТ-снимку и фотопротоколу

Консультация и презентация плана лечения у врача ортодонта с окончательной ценой и условиями рассрочки для фиксирования в договоре на весь период
Что вы получите:
КТ-снимок челюсти по одной из лучших цен в городе
Ясное понимание плюсов и минусов лечения прикуса брекетами и элайнерами
Точный диагноз и план лечения с указанием очередности и сроков лечения
Окончательную стоимость и варианты рассрочек внутри нашей клиники с фиксацией в договоре на весь период лечения


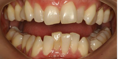
ДО
ПОСЛЕ
Исправление средней аномалии прикуса. Срок - 14 месяцев. Итоговая стоимость ортодонтического этапа под ключ "лечение + материалы" - 169 000 рублей


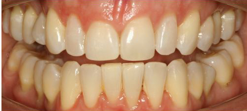
ДО
ПОСЛЕ
Восстановление эстетики. Срок - 10 месяцев. Итоговая стоимость ортодонтического этапа под ключ "лечение + материалы" - 145 000 рублей


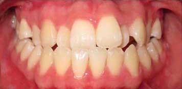
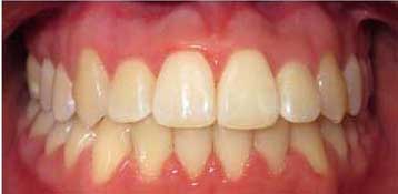
ДО
ПОСЛЕ
Исправление средней аномалии прикуса. Срок - 14 месяцев. Итоговая стоимость ортодонтического этапа под ключ "лечение + материалы" - 169 000 рублей
У нас надежно и безопасно
У нас выгодно
Лечение элайнерами в нашей клинике - это комфортно
Лечение элайнерами - это престижно и красиво
И наконец! Это честное предложение без скрытых доплат и манипуляций
Запишитесь на диагностику зубо-челюстной системы с фотопротоколом и заключением специалиста всего за 1 990 0 руб.
Акция до 31 мая!

Составляем договор
с указанием стоимости и сроков
Рассчитаем точную стоимость и зафиксируем ее в договоре!


КТ зубов делаем в условиях клиники,
с помощью специальной аппаратуры!
Вам не нужно никуда ходить!
Уфа, Проспект Октября 11 new
ООО "Вайт Бьюти"
Лицензия ЛО41-01170-02/00661773 от 06.07.2023, выдана Министерством здравоохранения Республики Башкортостан
ОГРН 1220200042842
ИНН 0278975546, Республика Башкортостан, г. Уфа, пр. Октября, д. 11
Возможна оплата в кредит или в рассрочку.
Принимаем банковские карты.

Размещенная на сайте информация не является публичной офертой, подлежит изменению юридическим лицом в одностороннем порядке.
Информация, предоставленная на сайте носит исключительно информационный характер.
ИМЕЮТСЯ ПРОТИВОПОКАЗАНИЯ. НЕОБХОДИМА КОНСУЛЬТАЦИЯ СПЕЦИАЛИСТА
Юлидент (с) 2011
На нашем сайте мы используем cookie для сбора информации технического характера и улучшения качества обслуживания. Вы можете их отключить или продолжить, согласно политике конфиденциальности.